친구 아버지가 흉통이 심하여 병원에 갔는데 담배를 피지 않는다며 가슴이 아픈 이유를 물었어요. 병원에서 여러가지 검사를 하고 내려진 증상이 협심증 초기증상이라고 해요.
협심증을 흔히 흉통이라고 하는데, 이번 글에서는 시간을 내어 좀 더 자세한 구성과 요약을 통해 협심증에 대해 알아보는 시간을 가지셨으면 해요. 만약, 응급 상황에서 응급 치료가 가능한지 여부를 아는 사람이 아무도 없으면 안타깝게 목숨을 잃을 수도 있기때문인데요.
협심증 초기증상 ( 좋은 음식 )
협심증이란?
심장은 3개의 주요 혈관(관상동맥)을 통해 산소와 영양분을 공급받아 작동해요. 동맥경화증, 혈전증, 혈관수축, 연축으로 인해 3개의 관상동맥 중 어느 하나에 급성 또는 만성 협착증이 발생하게되면 심장 전체 또는 일부에 산소와 영양분 공급이 떨어지고 심장으로의 공급이 감소해요.



산소와 영양소가 급격히 떨어지고 심근은 허혈에 이차적인데요. 이 상태를 협심증이라고 해요. 협심증은 3가지 유형으로 구분되는데, 하나는 동맥경화(만성) 안정형 협심증의 만성 협착으로 인한 협심증이고, 다른 하나는 동맥경화성 병변과 혈전 파열로 인한 협심증으로 갑작스럽게 협착이 악화되는 불안정형 협심증이라고 해요.
마지막으로, 동맥경화 병변이 없음에도 불구하고 혈관경련으로 인한 혈류 차단으로 인한 협심증을 변이형(이형성) 협심증이라고 해요.
협심증 초기증상
협심증 초기증상 - 소화 장애
소화기 문제는 협심증의 초기 증상이라고 해요. 그 이유는 혈액이 전신에 제대로 공급되지 않아 신진대사가 느려지고 소화기 장애가 생기기 때문인데요. 소화불량이나 속이 더부룩한 것은 협심증의 초기 증상일 수 있어요.



협심증 초기증상 - 가슴 통증
협심증의 첫 번째 증상은 가슴 통증인데요. 협심증은 가슴에 바늘로 찌르는 듯한 통증이 있거나 전신에 통증이 있는 것이 특징인데요.
또는 가슴이 눌리는 느낌, 무언가에 짓눌리는 느낌 등 여러가지 증상이 15분 정도 지속되기도 해요. 이런 통증이 나타난다면 협심증의 초기 증상일 수 있으기 때문에 치료가 필요할 수 있어요.
협심증 초기증상 - 신체 부위 통증
협심증의 초기 증상에는 목, 팔 및 기타 신체 부위의 통증이 있어요. 협심증을 초기에 치료하지 않으면 다른 통증이 발생할 수 있어요. 그리고 식은땀, 가슴 답답함, 호흡 곤란이 있을 수 있어요.
이러한 증상이 갑자기 나타나는 이유는 찬바람을 맞으며 외출을 한 경우 혹은 갑자기 20~30층으로 계단을 오르면 협심증 증상이 나타나기 때문에 일상생활에서 주의가 필요하기 때문입니다.



협심증 초기증상 - 구토
구토는 협심증의 초기 증상일 수 있어요. 구토는 혈액이 부족할 때 나타나는 증상인데요. 몸이 좋지 않으면 구토, 어지러움 등의 증상이 자주 나타나기 때문에 협심증의 초기 증상으로 치료해야 해요.
협심증 초기증상 - 호흡 곤란
협심증의 초기 증상으로 호흡이 어려울 수 있어요. 협심증의 증상이 나타나면 심장에 혈액이 제대로 공급되지 않아 발생해요.
협심증 원인
심장은 3개의 관상동맥을 통해 산소와 영양분을 공급받고 일생 동안 전신에 혈액을 운반하는 중요한 기관인데요.
따라서 관상동맥에 이상이 생기면 심장, 더 정확히 말하게되면 심근에 불가피하게 2차적 영향을 미치게 됩니다. 관상동맥의 가장 안쪽 층은 내피세포로 둘러싸여 있으며, 이 내피세포가 건강할 때 동맥경화나 혈전에 의한 협착이나 폐색이 잘 일어나지 않습니다.



그러나 내피세포가 손상되어 기능이 저하되면 관상동맥을 흐르는 혈액에 포함된 혈소판과 대식세포가 활성화되어 만성 동맥경화증이 진행됩니다.
이 협착에 의해 관상동맥의 70% 이상이 막히게 되면 심근의 일부가 허혈 상태가 되고 관상동맥 혈류가 좋지 않아 협심증을 유발해서 흉통 등의 증상을 유발합니다.
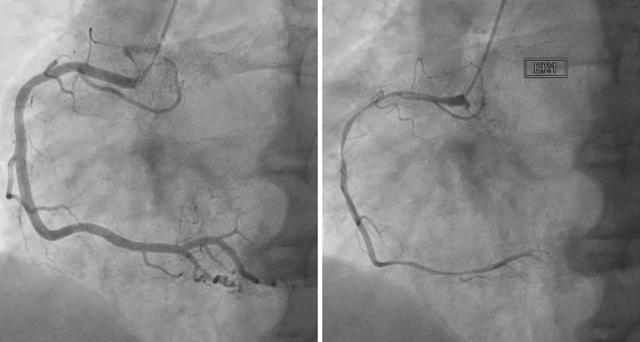
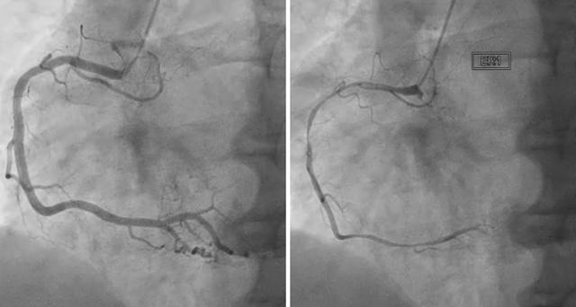
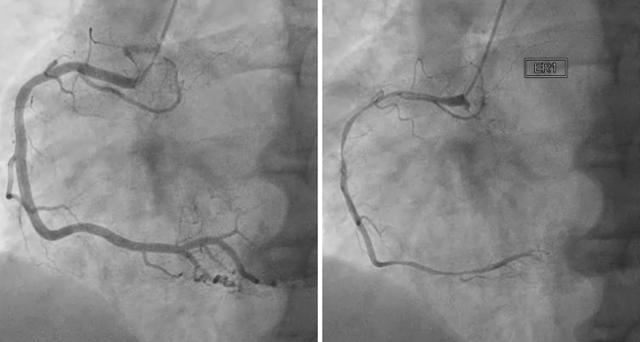
협심증 치료방법
협심증의 치료는 크게 약물치료와 개방치료, 개방혈관확장과 중증협착으로 구분됩니다. 협심증에서 불안정형 협심증은 최근에 통증이 악화되거나 안정시에도 통증이 지속되는 경우 심근경색 전 단계이기 때문에 심근경색증에 따른 관리 및 치료가 필요합니다.
따라서 불안정형 협심증의 병태생리는 최근 심근경색증과 동일하기 때문에 흔히 급성관상동맥증후군이라고 부른다. 국내에서는 최근 몇 년간 주요 병원에서 응급 심혈관 수술이나 스텐트 시술을 시행하고 있으며, 그 경과와 치료 효과가 크게 개선되고 있습니다.


심장성형술과 스텐트 시술은 요골동맥이나 대퇴동맥을 통해 혈관이 막히거나 좁아진 곳을 찾아 혈관 조영술을 시행한 후 풍선과 스텐트라는 철망을 이용해 혈관에 카테터를 삽입해 혈관을 넓혀주는 시술입니다. 대부분의 병원에서 일주일 이내에 또는 빠르면 다음 날 퇴원할 수 있어요.
또는 혈관이 약한 경우 혹은 심혈관 수술 및 스텐트 삽입에 적합하지 않은 경우 관상동맥 우회 수술이 대안이 될 수 있어요. 협심증의 치료는 미래의 협심증 재발과 심근경색증으로의 진행을 예방하는 데 중점을 두고 있어요.


스텐트 삽입 시 스텐트 내부에 치명적인 혈전 형성으로 인한 혈관의 재폐색을 막아주는 것은 약물 치료의 중요한 목표 중 한가지다. 대부분의 환자는 아스피린을 포함해서 추가 심장 보호 특성이 있는 혈압 약을 복용하며 당뇨병이 있다면 항고지혈증 약물 및 경구 혈당강하제 또는 인슐린을 복용해요. 니트로글리세린과 같은 혈관 확장제가 첨가될 수 있어요.
협심증 좋은 음식 대표 3가지
협심증에 좋은 첫 번째 음식은 콩인데요. 레시틴이라 하는 성분이 많은 양 포함되어 있어요. 이 성분은 혈관벽과 세포조직에 쌓인 지방을 제거하는 유익한 기능을 해요. 따라서 규칙적으로 섭취하게되면 협심증을 개선하고 협심증을 예방할 수 있어요. 특히나 콩 기반 식품을 규칙적으로 섭취하는 것이 가장 도움이 될 수 있어요.






협심증에 두 번째로 좋은 음식은 토마토인데요. 특히나 라이코페놀이라 하는 성분이 많이 포함되어 있 다고 알려져 있으므로 조금만 끓여도 조금 더 도움이 돼요. 라이코페놀이라 하는 성분이라면 모세혈관을 비롯한 동맥을 튼튼하게 해주므로 꾸준히 섭취하게되면 협심증에 큰 도움을 받을 수 있습니다.
셋째, 협심증 치료에 가장 좋은 음식은 등푸른 생선인데요. 특히나 고등어와 같은 청어류는 불포화지방산이 많이 포함되어 있어 우리 몸에 나쁜 콜레스테롤 지수를 확실히 저하시키고 여러모로 도움이 돼요. 그리고 DHA에 관해서는 혈전 을 예방하는데 아주 좋므로 혈관을 깨끗하게 해서 협심증에 큰 도움을 줄 수 있어요. 따라서 등푸른 생선을 정기적으로 섭취하게되면 협심증을 예방할 수 있어요.






이렇게해서 협심증 초기증상 및 협심증 좋은 음식 대표 3가지에 대해서 한번 알아보았습니다. 내용을 기억한다면 혹시모를 응급상황에 많은 도움이 될 수 있을거라 생각합니다.
건강 정보 더 알아보기